Cas cliniques en Orthodontie à Paris 8

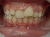
Cas clinique orthodontie Paris 8, béance

Avant

Cas clinique orthodontique, enfant

Pendant

résultat traitement orthodontie enfant, florence Hababou

Après

Patient 6 ans Succion pouce. Résultat obtenu avec le port d’un appareil de nuit. 1er résultat après 6 mois


 

Avant

Pendant

Après

Patient 8 ans on ne voyait quasi pas ses dents du bas. Le décalage des mâchoires a été corrigé en 8 mois avec le port d’un appareil la nuit


Avant

Pendant

Pendant

Traitement orthodontie, bagues invisibles, Florence Hababou

Apres

Patient adulte Orthodontie lignuale Inocgnito totalement invisible


 

Avant

Pendant

Après

Patient adulte traité en 6 mois avec des bagues linguales invisibles


 

Avant

Pendant

Après

Patiente 6 ans croissance du maxillaire bloquée. 1er résultat après 2 mois ! Port appareil la nuit uniquement


 

Avant

Pendant

Après

Patiente 7 ans alignement obtenu avec un appareil à porter la nuit uniquement. 1ers résultats au bout de 4 mois


 

Avant

Pendant

Pendant

Après

Patiente adulte avant après traitée avec un appareillage lingual Incognito


 

Avant

Après

Patiente adulte traité avec des gouttières d’alignement. Durée 6 mois


 

Avant

Résultats traitement orthodontie, bagues céramiques, Florence Hababou

Pendant

Après

Patiente adulte traitée avec des bagues céramiques esthétiques